こんにちは。
南館歯科クリニックの院長の木村です。
精密義歯の症例についてご紹介します。
入れ歯が合わないため
肩こりや頭痛がひどく
また見た目が気になり
人前で口元を隠してしまうそうで
今回自分に合った入れ歯を作ってほしいと
強い希望をお持ちでした。
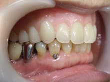
このケースはもともと
ご自身の前歯が残っていましたが
状態が悪く
しかも噛み合わせも悪いため
残念ながらそのままの状態では治療に限界があったので
相談の結果
抜歯をして
新しい咬合関係で義歯を製作することとしました。
顎の水平的な位置関係等の記録をとっています。
この記録をとるまで少し時間はかかりますが
とても重要な要素と考えています。
満足していただきました。
現在は頭痛や顎の痛みも無く
趣味の歌も楽しまれているそうです。
○○さん
治療義歯から含めると
長い期間はかかりましたが
良くなってよかったですね(^-^)
頑張って頂きありがとうございました。










