みなさんこんにちは。
南館歯科クリニックの歯科衛生士、佐藤です。
今回は、「噛めない」状態から「噛める」
を手に入れた、精密義歯治療を終えられた患者さんへのアンケートを紹介させていただきます。

歯医者さんは「怖い」というトラウマから長年放置・・・。
そんなトラウマがありながらも、南館歯科クリニックにいらしていただいてよかったです。
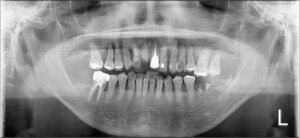
さて、こちらの患者さんの初診時のお口の中の様子をみていきましょう。
前歯が欠けてしまっていて、奥歯は根っこだけになってしまっているところもあります。
さらに、根っこだけになってしまったところを放置したため、挺出してしまっている歯もあります。
そして、レントゲンを見てみると残っている歯も、歯周病で歯を支えている顎の骨がなくなってしまっているのがよく分かります。
この状態では、歯がグラグラしてうまく噛めません。
前歯が欠けてる!
上の歯が挺出している!
大きな虫歯!
歯周病で骨が無い!
これでは噛めない!!
そこで今回提案させていただいた治療方法が、全部の歯を抜歯しての精密義歯治療でした。
抜歯後その日のうちに治療用の義歯が入ります。
しかし、抜歯後の歯茎は傷が治っていく段階でどんどん変化していきます。
そのたびにあたる所が出てくるため、何度も調整が必要になります。
この期間が皆さんにとって特に不安になる期間のようです。
本当に噛めるようになるのだろうか?痛い所は解消されるのだろうか?
来院される度に不安そうです。
ところが、今回のアンケートに「多少の不具合を感じることがあっても、次の通院時には必ず解消されるはずという安心感を持ちながら治療を進めることができた」とありました。
不安もたくさんあったと思いますが、こんな風に思っていただけたこと、嬉しく思います。
そして、完成した精密義歯を装着されての口元です。
笑顔の口元が美しい!
笑顔の口元がとてもきれいです!!
見た目がきれい、そして外れにくく、何よりも以前のようなグラグラになってなってしまった歯とは違い、しっかりと噛めるようになっています。
たくさんの不安があったと思いますが、ご満足いただけたようで本当に良かったと思います。
基本的に入れ歯を作る時には型採りをして、噛み合わせの型を採って製作していきます。
入れ歯を安定させ、しっかりと噛めるものに仕上げるには、設計や作る技術など様々な条件が必要となります。
入れ歯はどこで作っても同じではないんです。
知識、技術、全てがそろっていなければ噛める入れ歯は作れません。
https://minamidate-dental.com/denture/
👆
それらが南館歯科クリニックには揃っています!!
本気で噛める入れ歯を作りたいと思っている皆さん、ご連絡をお待ちしております。
