本気で歯周病を治したいなら・・・
みなさんこんにちは。
南館歯科クリニックの歯科衛生士、佐藤です。
今回は、歯科衛生士として、大切な歯を守るために一番お伝えしずらい、けれど最も重要な「骨」のお話をさせていただきます。

歯周病治療の真実:失った骨は戻りません
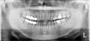
歯周病の治療において、私たちがまずお伝えしなければならない厳しい現実があります。それは、一度溶けてしまった歯を支える骨(歯槽骨)は、通常の治療では元の高さまで戻ることはないということです。
歯周病は、自覚症状がないまま進行し、気づいた時には土台が崩れる「沈黙の病気」です。
治療の最大の目的は、骨を再生させることではなく、「これ以上骨を減らさないこと(進行を食い止めること)」にあります。
なぜ治療が難しいのか?
・歯科医院に通うだけでは治らない:歯周病の治療をしていくときに歯科衛生士の知識や技術が必要なのはもちろんです。
しかし、患者さん自身でのセルフケアもとっても大切になります。ただ単に「頑張って磨いてください」というだけではなく、何を使って、どこをどのように、何のために磨くのかをしっかりとお伝えした上で実践していただく必要があります。
・ゴールの維持が大変:歯科医院でのメンテナンスだけでは不十分で、毎日の丁寧なセルフケアが不可欠です。
・生活習慣の影響:喫煙やストレス、糖尿病など、お口以外の要因も深く関わってきます。
歯とお口の中の健康を維持することは、将来自分の歯でおいしく食事をするための「最後の防衛線」です。私たちと一緒に、今ある大切な歯と骨を全力で守っていきましょう。
歯周病治療前 歯周病治療後
➡ 
https://minamidate-dental.com/perio/
☝南館歯科クリニックの歯周病治療
