みなさんこんにちは。
南館歯科クリニックの歯科衛生士、佐藤です。
今回は、ワイヤー矯正を終えられた患者さんへのアンケートを紹介させていただきます。
「上の歯のデコボコを治したい」
という希望で、南館歯科クリニックに来てくださいました。

診断結果は
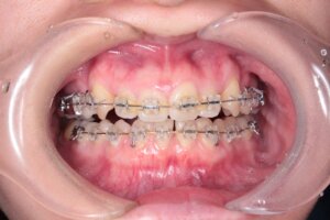
上の歯を2本抜歯してのワイヤー矯正という事になりました。

ワイヤー矯正なので、歯の表側に装置が付きます。
一気に歯磨きが難しくなり、虫歯のリスクも上がります。
そして、歯を動かし始めると痛みがあります。
しかし、この痛みはずっと続くわけではなく、動かし始めの2、3日です。
初めてワイヤーを付けた時や、ワイヤーの調整をした後の2、3日は痛みが出ることが多くあります。
恐らく、矯正開始前はとても不安だと思います。
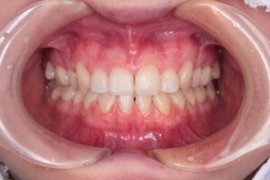
実際に矯正を終えられてのアンケートを拝見すると、やはり大変だったこともたくさんあったようです。
しかし、最後には「矯正治療をして本当に良かった」とあります。
➡ 

こんなに大変な思いをしても、お金がかかっても、治療期間が長くても、やって良かった!と思える矯正治療。
何度もこのブログでもお伝えしていますが、矯正治療はどこでやっても同じではありません。
ワイヤーだから綺麗に治るとか、マウスピースだから綺麗にならないとかでもありません。
矯正治療が成功するかどうかは、クリニックのDr.の診断と治療計画次第なんです。
治療計画が正しくなければ、どんな装置を使ってもうまくいきません。
インターネットやSNSでマウスピース矯正はうまくいかない。なんて言葉をよく目にしますが、そんなことはありません。
どんな装置を使おうと、Dr,の治療計画が間違っていれば矯正治療は絶対にうまくいきません。
これから矯正を考えている皆さん、矯正治療は装置で選ぶのではなく、正しい治療計画を立てることのできる、経験と知識を持っているDr.を探すことから始めてみてください。
https://minamidate-dental.com/orthodontic/
☝
南館歯科クリニックホームページをご覧ください
