みなさんこんにちは。
南館歯科クリニックの歯科衛生士、佐藤です。
今回は、当クリニックでワイヤー矯正をしてくださった患者さんへのアンケート紹介させていただきます。

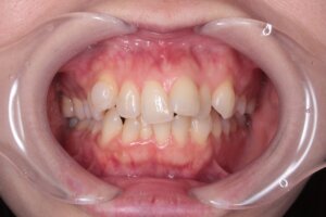
矯正前の患者さんの口元のお写真です。


「前歯のデコボコが気になる」ということで来院されました。
確かに、上下共に、歯が重なってしまっていで歯並びがデコボコしています。
相談、診断検査、シュミレーションをさせていただきました。
その結果。今回は、抜歯をしてのワイヤー矯正になりました。
抜歯をした直後の状態です。

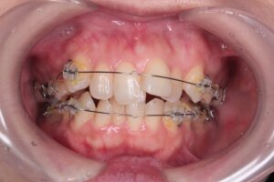
抜歯が終わり、いよいよブラケット装着。
しかし、前歯部の重なりが大きく前歯部にはブラケットをまだ付けることが出来ません。
まずは、抜歯をしたスペースに向かって歯を移動させていきます。

抜歯をしたスペースに歯を移動させることによって自然と前歯の重なりがほどけてきました。
そして、ついに前歯にもブラケットを付けることが出来るようになりました。
すでに正面から見た印象が大きく変わりました。
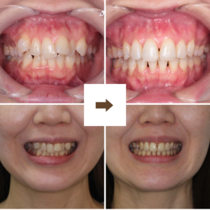
このように矯正治療は様々な段階を踏んで進んでいきます。
アンケートには、「抜歯と装置が付き始めた頃が一番大変だった」とあります。
矯正治療では、痛みが出たり、歯並びがどんどん変わる事によって一時ではありますがうまくかみ合わなくなってしまったり、歯磨きがしずらくなったり、大変なことがたくさんあります。

本当に大変な事もたくさんあると思いますが、こんなに綺麗な歯並びになれたら最高ですね(^^♪
https://minamidate-dental.com/orthodontic/
☝
ワイヤー矯正以外にも、マウスピース矯正も行っています。
南館歯科クリニックでの矯正治療の流れや症例など、是非ご覧ください💻
