こんにちは。
南館歯科クリニックの院長の木村です。
左上にハイブリットセラミックによる
ダイレクトボンディング治療を行った症例についてご紹介します。
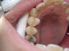
歯と歯の間に虫歯があり
マイクロスープを使って
虫歯のみをすべて取り除きました。
治療途中です。
相談した結果
ハイブリットセラミックによる
ダイレクトボンディングで治療をすすめました。
満足していただきました。
*
ハイブリットセラミックによるダイレクトボンディング治療の特徴
虫歯のみを削り
健康な部分は削らない治療なので
もっとも歯にやさしい治療と言えます。
また虫歯の再発も極端に少ないこと
(もちろんきちんとお手入れをすることが必要です)
金属を使用しないので見た目もきれいなことが特徴です。


