山形県山形市
南館3-21-1
ご予約・お問い合わせ
023-644-0018
24時間受付
WEB予約
ホーム
患者様の声
歯のお役立ち情報
クリニック紹介
院長・スタッフ紹介
診療時間・アクセス
診療案内
症例一覧
むし歯・
噛み合わせ治療
予防処置
インプラント
ダイレクト
ボンディング治療
成人矯正
精密義歯
歯周病治療
審美治療
精密根管治療
トピックス
TOPICS
ホーム
患者様の声
歯のお役立ち情報
クリニック紹介
院長・スタッフ紹介
診療時間・アクセス
診療案内
症例一覧
むし歯・
噛み合わせ治療
予防処置
インプラント
ダイレクト
ボンディング治療
成人矯正
精密義歯
歯周病治療
審美治療
精密根管治療
ホーム
患者様の声
歯のお役立ち情報
クリニック紹介
院長・スタッフ紹介
診療時間・アクセス
診療案内
症例一覧
むし歯・
噛み合わせ治療
予防処置
インプラント
ダイレクト
ボンディング治療
成人矯正
精密義歯
歯周病治療
審美治療
精密根管治療
ご予約・お問い合わせ
023-644-0018
24時間受付
WEB予約
« 前の記事へ
│記事一覧│
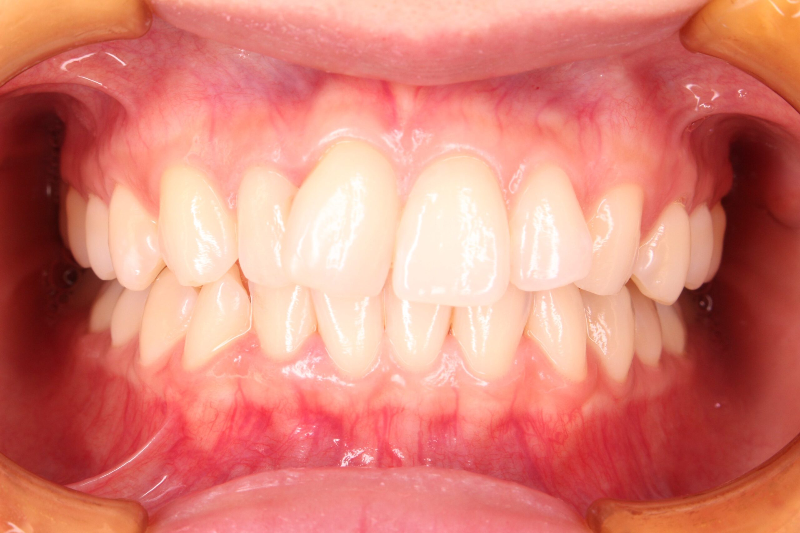
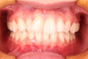
大﨑 園美_c01_20170213_100212000
カテゴリー
インプラント手術用ガイド
インプラント療
オールセラミック
コラム
セラミック
ダイレクトボンディング治療
ホワイトニング
南館歯科ブログ
口臭
患者様の声
未分類
歯周病専門治療
矯正
精密根管治療(マイクロエンド)
精密義歯(入れ歯
カレンダー
2026年3月
月
火
水
木
金
土
日
1
2
3
4
5
6
7
8
9
10
11
12
13
14
15
16
17
18
19
20
21
22
23
24
25
26
27
28
29
30
31
« 2月
最新記事
対処療法は終わり!そろそろ本気でお口の健康とは何かを考えませんか
噛めない入れ歯って入れてる意味ありますか?
約1年半でコンプレックス解消|大変だけどやって良かった歯の矯正治療
神経を抜いた歯は痛くなるわけがない!それは嘘です
マウスピース矯正失敗|矯正したのに後戻り|最近よく聞くけどそれってなんで?
約1年6か月|抜歯してワイヤー矯正|理想の歯並びを手に入れた
部分矯正!約6カ月間で矯正治療終了|思い切ってやって良かった
自分の口臭がホントに臭い時の口臭予防方法
前歯を引っ込めたい|2年で夢実現
くしゃみがとんでもなくクサかった・・・30代患者さんの歯周病口臭治療