こんにちは。
南館歯科クリニックの院長の木村です。
オールセラミックとホワイトニングで審美的治療を行った症例についてご紹介します。
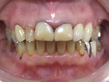
はじめに来院されたときの状態です。
虫歯や古いかぶせ物があり
「綺麗にしたい!」
それが最初のご希望でした。
治療はお手入れの改善からはじまり
しっかりそれを継続していただきました。
時間はかかりましたが
ご本人が
「良くなりたい」
「綺麗にしたい」
という強い気持ちを持ってがんばって頂いた結果です。
私たちは
治療をすることはできますが
その中で必要となってくる
治療と同じくらい重要な患者さんご自身によるお手入れは
がんばっていただくしかありません。
いっしょに
良い状態をつくれたことを大変うれしく思います。
○○さん
がんばっていただき本当にありがとうござました。
これからも良い状態がつづく様
いっしょにメンテナンスをがんばりましょう!


