右下のダイレクト治療|山形市の歯医者|南館歯科クリニック・矯正歯科

トピックス TOPICS

右下のダイレクト治療

こんにちは。

南館歯科クリニックの院長の木村です。

右下の虫歯にダイレクト治療を行った症例をご紹介します。

銀歯が詰めてあり

2次虫歯(再発)になっていました。

南館歯科クリニックのブログ
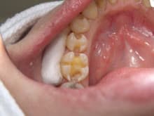
治療中です。(虫歯除去後)

*鏡なので逆に映っています。

南館歯科クリニックのブログ
治療後です。

満足していただきました。

奥の歯も虫歯(2次虫歯)なので

後日ダイレクトで治療予定です。

ハイブリットセラミックによる

ダイレクトボンディング治療のメリットは

健康な歯質を削らないこと

虫歯の再発が少ないこと

天然歯のように綺麗であること

基本的には1回で治療が終わること

などです。