こんにちは。
南館歯科クリニックの院長の木村です。
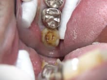
右下の奥歯にダイレクト治療を行った症例についてご紹介します。
銀歯がしてあり
そこが2次虫歯になっていました。
治療の相談をし
再発の少ない治療をご希望されたので
ハイブリットセラミックによる
ダイレクト治療ですすめました。
マイクロスコープを使って
虫歯を除去しました。
満足していただきました。
○○さん
奥歯で大変でしたが
がんばっていただきありがとうございました。
ハイブリットセラミックによるダイレクトボンディング治療の特徴
虫歯のみを削り
健康な部分は削らない治療なので
もっとも歯にやさしい治療と言えます。
また虫歯の再発も極端に少ないこと
(もちろんきちんとお手入れをすることが必要です)
金属を使用しないので見た目もきれいなことが特徴です。


