下の前歯のダイレクト治療|山形市の歯医者|南館歯科クリニック・矯正歯科

トピックス TOPICS

下の前歯のダイレクト治療

こんにちは。

南館歯科クリニックの院長の木村です。

下の前歯にダイレクト治療を行った症例についてご紹介します。

プラスチックが詰めてあり

その中が2次虫歯になっていたました。

南館歯科クリニックのブログ

治療前です。

南館歯科クリニックのブログ
治療途中です。

マイクロスコープを使って

古い詰め物(プラスチック)と

虫歯を除去しました。

ハイブリットセラミックによる

ダイレクトボンディングでの治療をご希望されたので

当日に治療を行いました。
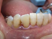
南館歯科クリニックのブログ
治療後です。

満足していただきました。

隣の歯の治療もご希望されたので

後日行う予定です。

○○さん

頑張っていただきありがとうございました。