こんにちは。
南館歯科クリニックの院長の木村です。
上の前歯にハイブリットセラミックによる
ダイレクト治療を行った症例についてご紹介します。
以前ぶつけて折れた歯(すでに治療されていました。)の
再治療をご希望で来院された方です。
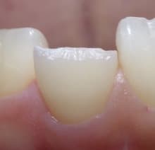
治療前です。
修復部位に審美性の問題があります。
以前、前医で
歯を全周削りかぶせ物での治療を提案頂いたことがあるそうですが
ご本人は
関係のない健康な歯質を大きく削ることに
とても抵抗があるらしく
他に治療法がないか悩んでおられました。
審美性だけを考えると
私もオールセラミックによるかぶせ物治療は
妥当であると思います。
しかし
患者さんの言うとおり
健康な歯質を大きく削ることにとても抵抗があるのも確かです。
そこで
このようなケースでの
ダイレクト治療のメリット、デメリットをお話し
相談した結果
ハイブリットセラミックによる
ダイレクト治療をご希望されたので治療を行いました。
*メリットとして
もちろん健康な歯質の保存(これが何よりも優先されると思っています。)
万が一脱離した場合の修復が容易であること
経年的な変色に対しても簡単な修理で対応できること
虫歯の再発リスクの軽減
などです。
治療途中です。
治療後です。
満足していただきまいた。
○○さん
治療へのご協力ありがとうございました。
綺麗になって良かったですね!



