こんにちは。
南館歯科クリニックの院長の木村です。
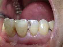
ハイブリットセラミックによるダイレクトボンディング治療で
前歯の治療を行った症例についてご紹介します。
隣の歯もそうですが
もともとレジンと言われるプラスチックが詰めてあり
そこが2次虫歯になってしまった症例です。
○○さん頑張って頂きありがとうございました。
当クリニックのダイレクト治療については、こちらをご覧ください。

こんにちは。
南館歯科クリニックの院長の木村です。
ハイブリットセラミックによるダイレクトボンディング治療で
前歯の治療を行った症例についてご紹介します。
隣の歯もそうですが
もともとレジンと言われるプラスチックが詰めてあり
そこが2次虫歯になってしまった症例です。
○○さん頑張って頂きありがとうございました。
当クリニックのダイレクト治療については、こちらをご覧ください。