右下の虫歯のダイレクト治療|山形市の歯医者|南館歯科クリニック・矯正歯科

トピックス TOPICS

右下の虫歯のダイレクト治療

こんにちは。

南館歯科クリニックの院長の木村です。

歯にやさしいダイレクトボンディング治療の症例です。

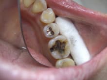
銀歯が入っていて

2次虫歯で詰め物が脱離し来院されました。

南館歯科クリニックのブログ
治療前です。

銀歯はやはりこういった症例は多いですね(ノ_-。)

まず虫歯のみを

マイクロスコープを使って

取り残しが無いよう削りました。

南館歯科クリニックのブログ
治療途中です。

ご希望のあったハイブリットセラミックによる

ダイレクト治療を行っていきました。

健康な部分は削らない治療なので

もっとも歯にやさしい治療と言えます。

南館歯科クリニックのブログ
治療後です。

虫歯の再発も極端に少ないこと

(もちろんきちんとお手入れをすることが必要です)

金属を使用しないので見た目もきれいなことが特徴です。

満足していただきました。