こんにちは。
南館歯科クリニックの院長の木村です。
上の前歯にオールセラミックおよびダイレクトボンディングで
審美治療を行った症例についてご紹介します。
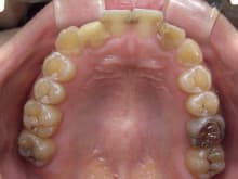
治療前の状態です。
正面写真の向かって右側の側切歯(実際は左側になります。)は歯が折れています。
中央の2本には大きな虫歯があり
向かって左側の歯は2次虫歯になっています。
症状はないということでしたが
以前から人前で気になっていたとのことで
治療の相談の結果
綺麗に治したいとの希望があり
中央の2歯は
ハイブリットセラミックによるダイレクトボンディングで治療をしています。
虫歯が大きかったり
表面のエナメル質の白斑など
いくつか問題はありましたが
できる限り健康な歯質を温存したいとの希望があり
今回はダイレクト治療で回復をしました。
両隣はセラミックの被せ物で治療を行いました。
満足して頂きました。
○○さん
綺麗になって良かったですね(^-^)
これからは自信をもって笑ってください!
そしてしっかりメンテナンスをし
健康な状態を維持していきましょう。
当クリニックのダイレクト治療については、こちらをご覧ください。





