こんにちは。
南館歯科クリニックの木村です。
右上前歯のセラミック治療の症例についてご紹介します。
審美的な回復だけではなく
機能的にもしっかりと治療をしたいとの希望がありました。
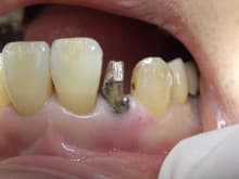
治療開始時の写真です。
先ずは古い被せ物を除去しました。
金属の土台がしてあり
2次虫歯等で変色や劣化もだいぶ進んでいます。
根の先に根尖病巣もあったため
ご本人の希望もあり
顕微鏡下での専門根管治療を行いました。
その後
ファイバーコアで補強し
マイクロスコープを使って
根の歯肉溝内の部分を注意深く形成したあと
精密印象(型取り)を行い
セラミックを製作しました。
歯茎に細工をしてセットしているので
多少歯肉に赤みがありますが
今後しっかりメンテナンスを行っていくことで綺麗に回復してきます。
マージン(被せ物と歯の境目)の位置も
審美的に良好な位置にセッティングできたのではないかと思っています。
両隣の歯にも虫歯があったため
そこは
ハイブリットセラミックによる
ダイレクトボンディングで治療を行いました。
この方は
歯周病専門治療も行っていますので
歯肉の状態やセルフケアもばっちりです(^^)
やはり審美治療は
クリニックと患者さん双方の協力がとても大切だと
改めて感じました。
○○さん
頑張っていただきありがとうございました。
長年気になっていた前歯が綺麗になって
本当に良かったですね。
これからはご一緒にメンテナンスを頑張りましょう!







