こんにちは。
南館歯科クリニックの木村です。
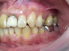
上顎前歯のセラミック治療の症例をご紹介します。
上の前歯は
不適合な被せ物や詰め物がしてありました。
もともと神経の処置もしてあった歯ですが
2次虫歯や根尖病巣(根の先の病気)があったため
顕微鏡下での専門根管治療等も行っています。
セラミックでの被せ物治療を希望していたので
その土台となる根の治療は
とても重要と考えます。
満足して頂きました。
○○さん
がんばっていただきありがとうございます。
歯周専門治療や
インプラントなど
治療がもう少し続きますが
一緒にがんばりましょう(^-^)





